Why hide behind your smile when you can get the smile you always dreamed of with dental Veneers Dubai! Did you know that you can customize the shape, shade, look and feel of Porcelain Veneers to give you a natural looking Hollywood Smile of your Choice?
Smile Makeovers are done by our Cosmetic Dubai Dentist Dr Rabih Mahfouz. With years of experience Dr Rabih has changed peoples lives by perfecting their smiles at Lara Dental Clinic with dental veneers.
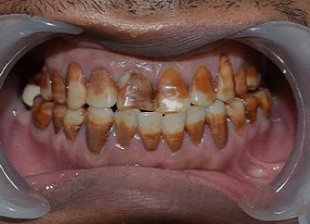
Porcelain Veneers are made of porcelain material making them durable, long lasting and guaranteed to give you a smile you’re proud to show off. Veneers for teeth can help patients suffering from gaps, cracks, chipped teeth, misaligned teeth, discoloured teeth, stains or uneven teeth benefit from our life changing dental cosmetic treatment and helps to regain self-esteem and confidence to smile and stand out in a crowd.
Cost of Veneers can vary depending on which type of Veneers you’re interested in and which would be best suitable for your case. We offer all types at our clinic giving you the upper hand to pick the type you’re comfortable with.
Lara Dental Clinic Dubai dentist offers top quality of dental Veneers in Dubai by carefully selecting the most suitable type of veneer needed for each case. If you feel this treatment is right for you and would like to know more about our dental veneers, or if you’re interested in booking an appointment with Dr Rabih, contact us today.
Cost of Porcelain Veneers Vs Cosmetic Smile Makeover
Veneers are artistically designed for every person to perfectly compliment the shape of your unique smile and face with the final result being a highly desired natural look. When it comes to cost of cosmetic dental treatment, porcelain veneers usually take the lead in being the higher priced option, taking a thought into the benefits and final transformation of having a beautiful smile and confidence is definitely worth the investment.
The good news is there are different options of veneers that affect the final cost of the treatment.
Top benefits of Porcelain Veneers
Other than the most obvious reason of a beautifully designed smile and aesthetic appeal, you’ll find that there are many more benefits of Veneers.
- A Naturally designed beautiful smile : We can design veneers to match your natural smile, with an upgraded version
- Porcelain Strength and Durability : Porcelain veneers are extremely resilient, they are made of highly durable material that are not easy to destroy.
- Custom made Smile : You can decide what shape, size, style, length, width and shade you want your smile to be. Porcelain veneers allow you to customize them however you dreamed of.
- A Solution for the long run : With proper upkeep veneers can last up to 20 to 25 years.
- Stain Proof : Unlike our natural teeth, porcelain veneers are stain resistant. The shade you select will remain for as long as have your veneers…even tea, coffee and red velvet cakes! With properly prepared Veneers and high quality material you won’t have to worry about losing your pearly white smile.
- Fast and Simple : You’ll only need 2 visits to transform your smile. First visit is to take an impression for the trail version of your smile, second visit will be to try in your new smile here is where you’ll decide to make changes of go ahead, if you like what you see you’ll move to preparation for your veneers, and on the third visit you’re good to go!
- No Recovery time : Once you leave the office with your new smile, you can continue your activates as normal.
- Smile More = More Confidence : Not a secret most people are not happy with their smile and are not confident to speak or smile because they do not want to show their teeth. A new smile will definitely increase confidence and your appearance and feel more comfortable.
- Cosmetic Appeal : Veneers help to enhance teeth that are broken, discoloured, chipped, cracked, unaligned and spaced.

Porcelain Veneers 